top of page


Chez Orthoesthet, Nous considérons l'Orthodontie comme le support principal, pilier d'une dentisterie conservatrice, esthétique et fonctionnelle.
C'est pourquoi nous traitons nos patients avec les techniques les plus avancées en matière d'Orthodontie.
​
-
Traitements multiattaches autoligaturants (bagues extérieures acier ou céramique sans ligature élastiques)
-
Traitements par Aligneurs (gouttières transparentes
-
Utilisation de Mini Vis ( Ancrage temporaires pour faciliter les mouvements dentaires )
​
Simulation Informatique
​
De plus nos traitements sont tous soumis à un SET UP informatique permettant au patient de se projeter dans son traitement, connaitre les objectifs de celui ci, sa complexité ainsi que sa durée.
​
Le type de traitement
​
Nous réalisons pour les adultes des traitements courts (en dessous de 6 mois pour les corrections mineures ou les reprises de traitements ) mais aussi des traitements plus long qui nécessitent une plus grande correction. Dans le cas où le problème dentaire est associé à un problème de machoires et/ou un problème de dysharmonie faciale, nous pouvons réaliser un traitement ortho-chirurgical.
​​



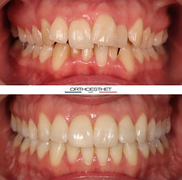
Cas clinique traitement par aligneurs 2ans
Le cas ci joint a permis de corriger, l'encombrement, la supraclusion totale, l'esthétique et le fonctionnel à l'aide d'un traitement par aligneurs.




Cas clinique traitement par bagues 2 ans
Le cas ci joint a nécessité un traitement par bagues de par la complexité des mouvements orthodontiques à réaliser.
Le déséquilibre facial, nous a irrémédiablement orienté vers un traitement ortho associé à une chirurgie orthognatique de repositionnement des mâchoires.
Le traitement a permis une correction plus large du sourire avec :
- Une réharmonisation des machoires
- Une rééquilibrage facial
- Une équilibration des muscles de la face
- Une Augmentation de la respiration par le couloir aérien
- Une correction du sourire exceptionnelle
- Une augmentation de l'estime de soi et de la confiance

Esthétique & Fonctionnel : La spécificité Orthoesthet
L'Orthodontie Adulte ​fait souvent intervenir d'autre disciplines tels que la parodontie ou la dentisterie conservatrice et reconstructrice.
Elle demande aussi une expertise permettant d'orchestrer toutes ces disciplines dans le but d'obtenir les résultats les plus naturels, les plus esthétiques et d'offrir une longévité inégalée.
Grace à notre expérience et une analyse pluridisciplinaire, nous pouvons ainsi offrir à nos patient des résultats époustouflants et un confort inégalé en corrigeant à la fois l'esthétique et le fonctionnel.
L'orthodontie adulte
By
Qui s'occupera de vous ?
bottom of page

